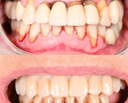
Cas clinique du Dr. Biton avec les implants Co-Axis®
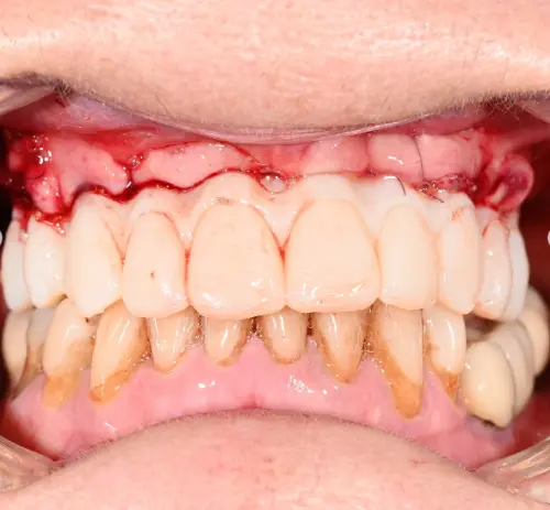
Dysfonction occlusale et esthétique avec inflammation gingivale, usure dentaire marquée et axes implantaires défavorables au maxillaire, compromettant une réhabilitation prothétique transvissée sans correction d’angulation.
Avec la collaboration du Dr. Julien Biton






















