Implantologie en Secteur Postérieur
& Mise en Charge Immédiate
Stabilité et Performance
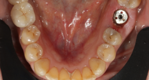
Un implant conventionnel n’est pas adapté à une pose immédiate dans un site d’extraction molaire. Par conséquent, des délais d’attente de trois à quatre mois sont nécessaires afin de permettre la cicatrisation de l’alvéole avant la mise en place de l’implant. Souvent, le site d’extraction cicatrisé présente une hauteur osseuse réduite, insuffisante pour la pose implantaire sans recours à une procédure d’augmentation osseuse.
L’implant MAX, se distingue par un design spécifique du corps et des spires, conçu pour obtenir une stabilité primaire grâce à l’ancrage dans l’os interradiculaire. Le résultat offre un implant optimisé qui limite la perte osseuse et réduit significativement la durée du traitement.









