Implant MAX
Stabilité Primaire Maximale pour la Mise en Charge Immédiate en Zone Molaire
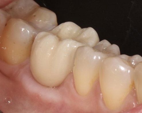
L’extraction-implantation immédiate en secteur molaire est un défi majeur : comment obtenir une stabilité primaire suffisante dans une alvéole large et non congruente ?
L’implant MAX de Southern Implants est la réponse. Grâce à son design à large diamètre spécifiquement étudié, il s’engage fermement dans l’os résiduel pour permettre des protocoles de mise en charge immédiate (MEI) prédictibles.










