Cas clinique du Dr. Benat avec les implants Ptérygoïdiens
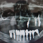
Le patient montre une insuffisance osseuse maxillaire postérieure bilatérale, objectivée sur la radiographie panoramique préopératoire, ne permettant pas la pose d’implants axiaux conventionnels sans solution de rattrapage d’axe.
Avec la collaboration du Dr. Gauthier Benat













